繁體
|
簡體
Sclub交友聊天~加入聊天室當版主
(檢舉)
分享
新浪微博
QQ空间
人人网
腾讯微博
Facebook
Google+
Plurk
Twitter
Line
註冊
登錄
論壇
搜索
幫助
導航
私人消息 (0)
公共消息 (0)
系統消息 (0)
好友消息 (0)
帖子消息 (0)
青光眼-一輩子的朋友
»
討論區
» 煩請協助檢視報告
返回列表
回復
發帖
匿名
發表於 2024-9-18 19:44
1
樓
跳轉到
»
倒序看帖
打印
字體大小:
t
T
[看診相關]
煩請協助檢視報告
版主您好
,
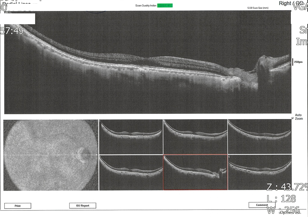
因為左眼在暗處往左看會出現垂直閃光而前往醫院就診,麻煩版主幫忙看一下報告,請問確定是青光眼?嚴重程度?
謝謝
!!
下載
(548.42 KB)
1
2024-9-18 19:40
下載
(527.68 KB)
2
2024-9-18 19:40
下載
(701.44 KB)
3
2024-9-18 19:40
下載
(672.1 KB)
4
2024-9-18 19:40
下載
(722.23 KB)
5
2024-9-18 19:40
下載
(314.29 KB)
6
2024-9-18 19:40
下載
(337.28 KB)
7
2024-9-18 19:40
收藏
分享
回復
引用
發短消息
加為好友
glaucoma2014
當前離線
精華
0
註冊時間
2015-10-23
最後登錄
2026-1-22
glaucoma2014
發表於 2024-9-18 21:54
2
樓
雙眼杯盤比及視網膜厚度大致正常,但左眼視野敏感度似乎整體性的下降,通常這和白內障比較有關,火勢其他問題,青光眼不會有閃光現象,所以要讓醫師檢查一下眼底,看有沒有視網膜剝離或裂孔,如果你接近50歲左右,也有可能是玻璃體老化液化而拉扯到視網膜,產生閃光
回復
引用
TOP
遊客
122.116.130.x
發表於 2024-9-18 22:14
3
樓
看到您的回覆後安心多了,我再找其他醫生檢查一下,感謝!!
回復
引用
TOP
返回列表
高級模式
|
發新話題
B
Color
Image
Link
Quote
Code
Smilies
發表回復
回帖後跳轉到最後一頁
[收藏此主題]
[關注此主題的新回復]
[通過 QQ、MSN 分享給朋友]