免費論壇 繁體 | 簡體
Sclub交友聊天~加入聊天室當版主
分享
返回列表 回復 發帖

因為剛被判定是青光眼有些恐慌+疑慮

本帖最後由 m097831 於 2024-10-8 22:41 編輯

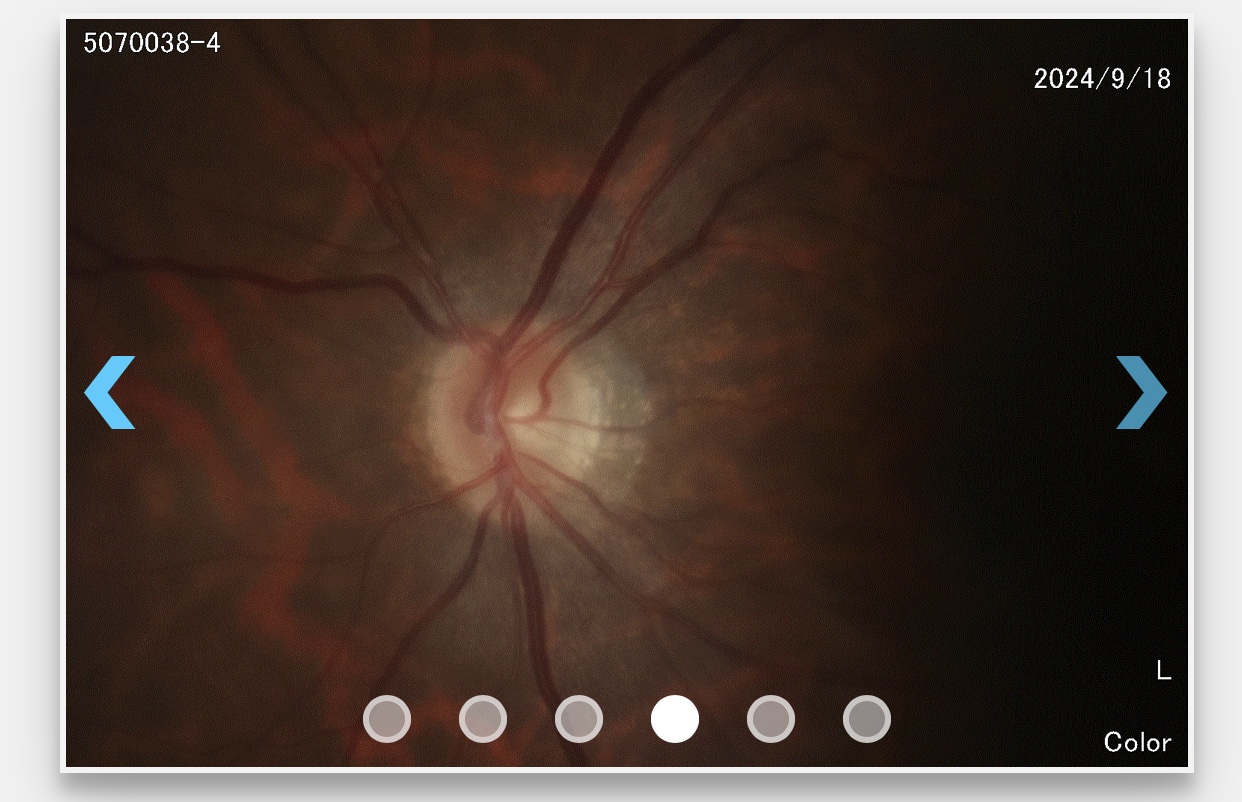
我在台北馬偕眼科就醫,右眼左上↖️有視野缺陷,被馬偕醫師判定是青光眼(眼壓正常)
1)請問一下青光眼視野缺陷的部分,能感受的到光嗎?我拿手電筒

IMG_3639.jpeg (112.98 KB)

IMG_3639.jpeg

IMG_3640.jpeg (351.36 KB)

IMG_3640.jpeg

IMG_3641.jpeg (114.68 KB)

IMG_3641.jpeg

IMG_3642.jpeg (352.56 KB)

IMG_3642.jpeg

IMG_3643.jpeg (513.17 KB)

IMG_3643.jpeg

IMG_3644.jpeg (499.17 KB)

IMG_3644.jpeg

有視野報告嗎,我感覺這視神經還算正常,還無法確診
本帖最後由 m097831 於 2024-10-8 22:40 編輯

回復 2# glaucoma2014


    沒有視野檢查報告…有檢查但是app沒有提供報告資料
已在FB回覆
返回列表
高級模式 | 發新話題
B Color Image Link Quote Code Smilies