免費論壇 繁體 | 簡體
Sclub交友聊天~加入聊天室當版主
分享
返回列表 回復 發帖

我的青光眼之路2 (检查结果)

本帖最後由 mom2005 於 2021-3-31 05:14 編輯

[attach]1444[/attach][attach]1444[/attach]
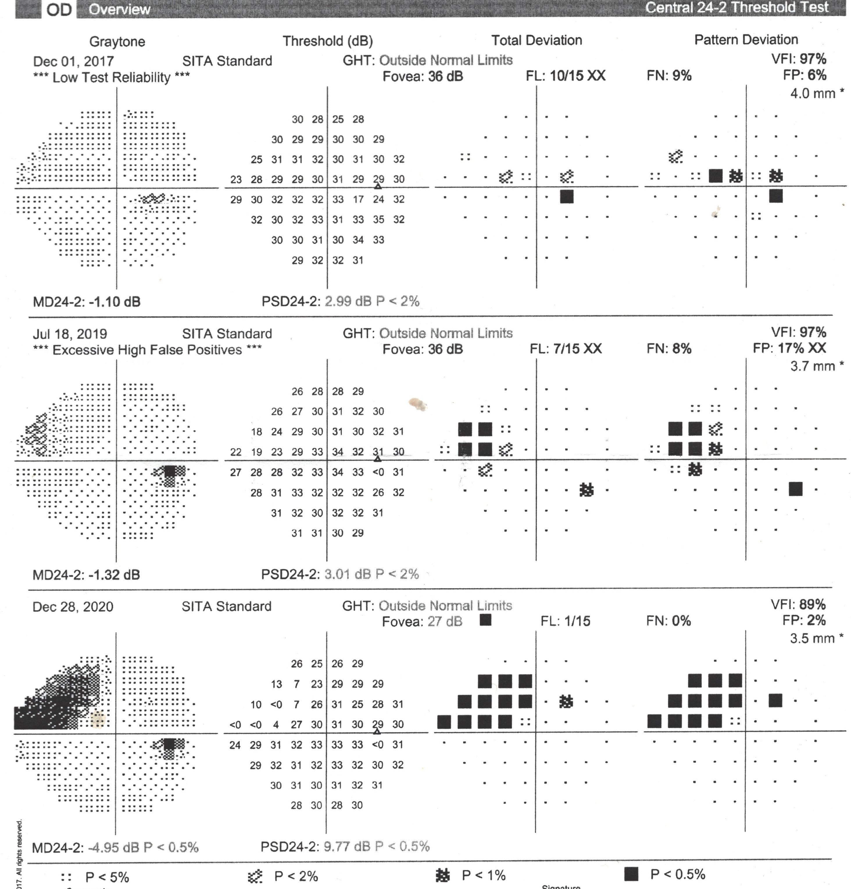
Righteye.jpg

左右眼演示2017年正常,2019年轻微发展,最近视野损害。
我的CD ratio 左眼 0.81, 右眼0.74. 不知道为什么比例这么大。

确诊十一年来lumigan 用了四年,停药2014-2019. 不用眼药眼压17-18, 用lumigan 眼压16-17. 我觉得没有效果,但是原来的医生说我可能晚上睡觉时眼压高,所以lumigan 还是有效的。

今天看的新医生建议早上Cosopt , 据说这个能促进血液循环,但是我有点担心血压,本来就血压低。 晚上lumigan.
新医生认为我的问题一部分来自血液供应不足,应该提高血压到至少110.

请指教,这是不是发展过快?  CD ratio 这么大会不会很危险? 医生用药合理吗?

Lefteye.jpg (912.46 KB)

Lefteye.jpg

本来想在回帖放上OCT, 没有成功,只能再开一贴。

多谢详尽的回复。觉得您已经胜过了很多青光眼医生。
21033005322cf03eed6276c973.jpg

2017年FL=10/15,表示機器監測你眼睛有沒有看中心點15次,發現有10次沒看,所以眼睛有漂移,這樣有些你本來應該看不到的光點,就會被你看到,其實在右邊箭頭出,已經有顯示黑方塊,表示這裡比正常人的光敏感度低,是有缺損的徵兆,所以這樣表面上看起來VFI=97,實際上應該更低,所以左上角才會寫"低可信度"

2019年FL=7/15,一樣有一半的時間眼睛漂移,加上FP=17%(假陽性,就是機器有嗶聲但沒光點產生,你還是按了按鈕,表示你求好心切,即使沒看到光點還是按了按鈕),左上角也顯示"假陽性超標",這樣更會使報告偏向沒有缺損,所以VFI一樣97%,但這次黑方塊更多更明顯了,表示右眼左上方視野缺損持續進展。

2020年VFI=89%,這張就很有參考價值,也是實際的視野狀況,所以不是2020年進展快速,而是2014年停藥後,到2017年已經有小的視野缺損,只是報告失真,2019年又進展一點,到2020就進展成89%,我相信應該是可能2016-2020就以線性的速度慢慢進展,而不是突然進展。

左眼誤差也太大,所以3張都寫"低可信度",不過我想左眼的狀況應該比右眼好一點

對NTG而言眼壓是斤斤計較的,所以眼壓從17降到16就算是有意義,也有效果,如果加上睡眠期間所降的眼壓,效果應該更大。

Cosopt我似乎比較沒有通說過有促進視網膜血流的效果,如果有也很輕微,都比不上銀杏,用這2種藥適當,等到未來眼壓穩定後,可以試試新藥Vyzulta,聽說對NTG較有效。

我也是低血壓,但要提高血壓不容易,我試了幾個方法都沒有明顯的改善。

杯盤比應該是2010年時,醫生就看到偏大,所以才會確診青光眼,如果你有之前的OCT報告來比對,應該更好分析是什麼時候開始視神經凹陷受損,什麼時候開始視野缺損。

雖然2020年VFI=89%,這樣右眼在分級上算是初期,左眼也有可能是視野正常的,所以主要點藥後,用眼一輩子絕對沒有問題。
返回列表
高級模式 | 發新話題
B Color Image Link Quote Code Smilies