繁體
|
簡體
Sclub交友聊天~加入聊天室當版主
(檢舉)
分享
新浪微博
QQ空间
人人网
腾讯微博
Facebook
Google+
Plurk
Twitter
Line
註冊
登錄
論壇
搜索
幫助
導航
私人消息 (0)
公共消息 (0)
系統消息 (0)
好友消息 (0)
帖子消息 (0)
青光眼-一輩子的朋友
»
討論區
» [看診相關]拜託版主幫忙看我的OCT報告 非常感謝
返回列表
回復
發帖
遊客
104.28.128.x
發表於 2024-11-3 19:02
1
樓
跳轉到
»
倒序看帖
打印
字體大小:
t
T
[看診相關]拜託版主幫忙看我的OCT報告 非常感謝
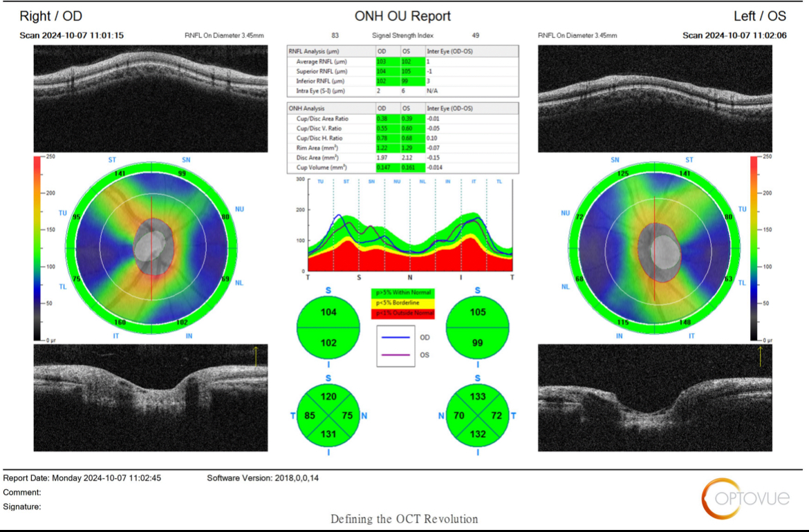
本人今年28歲,三年前健檢就有被標註左眼眼壓超標24,那時候沒有很在意,今年健檢又被測出右眼眼壓24,兩眼眼壓都偏高19~25左右
健檢中心請我要去醫院追蹤有可能是青光眼,目前去做了三總的OCT檢查,還要視野檢查等等還沒做,但是排到好久以後,心裡越想越害怕,
想請版主及各位幫忙看看我的OCT報告是否有青光眼?謝謝!
下載
(756.08 KB)
OCT報告
2024-11-3 19:01
收藏
分享
回復
引用
發短消息
加為好友
glaucoma2014
當前離線
精華
0
註冊時間
2015-10-23
最後登錄
2026-1-22
glaucoma2014
發表於 2024-11-4 22:05
2
樓
視神經厚度很正常很厚,但杯盤比較大,接近邊緣值,加上眼壓較高,所以目前看起來是疑似,未來可能是也可能不是,目前判斷不出來,所以要定期檢查,一年或半年去檢查一次就可以了
另外你視野一定正常,不用擔心
回復
引用
TOP
遊客
104.28.128.x
發表於 2024-11-5 09:19
3
樓
回復
2#
glaucoma2014
非常感謝回覆!我會定期去做檢查的!真的很擔心不到30歲就得青光眼,以後會不會很快就失明了….?另外想請教眼壓高或是像我這樣的情形,平常會有什麼事情不能做嗎?例如重訓、水肺潛水、瑜珈等等,因為有固定在做這些活動,是不是以後要放棄了,謝謝!
回復
引用
TOP
發短消息
加為好友
glaucoma2014
當前離線
精華
0
註冊時間
2015-10-23
最後登錄
2026-1-22
glaucoma2014
發表於 2024-11-6 21:33
4
樓
不會的,有醫師說只要自己有定期檢查,要失明也沒那麼容易。
因為你並沒有確診,且沒有青光眼的機率很大,之後醫師應該也不會給你藥水,就一切照常,沒有什麼禁忌
回復
引用
TOP
返回列表
高級模式
|
發新話題
B
Color
Image
Link
Quote
Code
Smilies
發表回復
回帖後跳轉到最後一頁
[收藏此主題]
[關注此主題的新回復]
[通過 QQ、MSN 分享給朋友]